Blue Space Clinic Physiotherapy Logo
Book Appointment
  • Home
  • Physiotherapy
    • Surgery Physiotherapy
    • Muscle and Joint Injuries
    • Kids Physiotherapy
    • Concussion Recovery
    • Dizziness, Vertigo, And Balance
    • Brain Injuries, Stroke, and Neuro Physiotherapy
    • Heart and Lung Physiotherapy
  • Referrals
  • About Us
  • FAQs
  • Blog
  • Contact
  • Home
  • Physiotherapy
    • Surgery Physiotherapy
    • Muscle and Joint Injuries
    • Kids Physiotherapy
    • Concussion Recovery
    • Dizziness, Vertigo, And Balance
    • Brain Injuries, Stroke, and Neuro Physiotherapy
    • Heart and Lung Physiotherapy
  • Referrals
  • About Us
  • FAQs
  • Blog
  • Contact
Book Appointment
Neck related headaches
8 July 2023
Sports Medicine Expert Physiotherapy in Bayview Village, Toronto, North York, and GTA.
Navigating ACL Surgery Recovery: A Comprehensive Timeline and Tips
27 November 2023

Scared of falling?- How, why, and what to do about it!

23 November 2023
Categories
  • Health
Tags

Ever wondered why sometimes it feels like keeping our balance gets a bit tricky as we grow up? Or maybe you had a serious leg or spine injury and now don’t trust your legs as much?

Let’s explore the fascinating world of ears, balance, and how some special training can help us stay on our feet!

Our Ears: More than Just Listeners:

Ears aren’t just for hearing our favorite sounds. They also have a big job called “vestibular function, i.e. helping us keep our balance.

As we get older, our ears lose this ability and aren’t able to do this job as quickly or smoothly.

 

Similarly, if you had an injury,  your proprioception can be off, i.e. your balancing system and legs are out of sync.

But don’t worry, we have some tricks to keep things steady!

 

Falls Training: The Cool Workout!

Falls training can take a few months to complete, but it’s worth it! It’s not about lifting heavy stuff but more about teaching our body and brain to work together. Here’s what it involves!

  1. We start with teaching you what to do IF you have fallen— how to fall safely and how to get up from the ground, etc.
  2. Then we dive into the details of what is causing your problems- is it a history of injuries? Is it because you had a small stroke in past? Is it because the vestibular system is compromised? Based on this, we tailor your rehabilitation to address the root cause of the issue.
  3. Once you have the basics, it’s time to start training on different conditions- wet and slippery, uneven ground, low lights, etc.

Why Falls Training is Awesome:

  • 🌪️ It makes our balancing system and body stronger.
  • 🤸‍♂️ It teaches us cool moves to stay steady.
  • 🎉 It’s fun!

And there you have it — the interesting world of why our ears matter and how falls training helps us find balance! So, let’s stand tall, and stay balanced, pals!

 
 
 
Share
82

Related posts

Physical activity guidelines for children, adults, and seniors- Blue Space Clinic Physiotherapy
28 November 2025

How to be more active: Physiotherapy tips on behavioral change


Read more
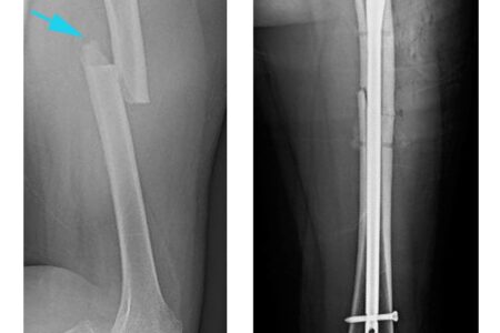
Femur Femoral Shaft Fracture Physiotherapy
19 November 2025

Physiotherapy for Femur Fractures


Read more
Shoulder Dislocation X- Ray- Informative for Shoulder Dislocation Physiotherapy

Shoulder Dislocation X- Ray

31 July 2025

Physiotherapy for Shoulder Dislocation


Read more
Image of a brain for Stroke Physiotherapy- Blue Space Clinic Physiotherapy Clinic
12 June 2025

Stroke Rehabilitation at Blue Space Physiotherapy


Read more

Leave a Reply Cancel reply

Your email address will not be published. Required fields are marked *

Contact

Blue Space Clinic Physiotherapy Logo

Call or Text

647-812-7454

Email

info@bluespaceclinic.com

Fax

437-887-2471

Hours

Mon - Fri: 9 AM - 6 PM
Saturday: 9 AM- 12 PM
(Call us for appointments outside regular hours)

Address

Suite 201, 621 Sheppard Avenue East, Toronto. MK2 1B5

Near Bayview and Sheppard, 5 minute walk from Baview or Bessarion Station.

Amenities:
Free underground parking. Accessible.

Go to map